Dr. Antonio Torregrosa Gallud
Hospital Universitario y Politécnico La Fe (Valencia).
1. Introducción
La hernia de Spiegel fue reconocida por primera vez por Josef T. Klinkosh en 1764, y se llamó así en honor al anatomista Adrian van der Spiegel (c. 1578-1625), que describió la línea semilunar. Se considera una entidad rara que afecta a menos del 1 % de la población que presenta defectos herniarios. Sin embargo, en nuestro medio nos ha sorprendido la cantidad de hernias de Spiegel vistas e intervenidas a lo largo del presente año, hecho que consideramos motivo sufiente para presentar esta serie. Consideramos que la reparacion preperitoneal y subfascial con malla PHS puede ofrecer unos magníficos resultados.
2. Objetivos
El objetivo de ésta presentación es mostrar una forma de reparación de las citadas hernias con una malla bilaminar con dispositivo de conexión, suficientemente conocida y usada en el tratamiento de las hernias inguinales. Permite una cirugía fácilmente reproducible y de rápida recuperación y alta médica. Creemos conveniente recalcar en el hecho de que aunque representa una hernia rara, no es tan infrecuente como reflejan muchas series.
3. Técnica comentada
Imagen núm. 1: Hernia de Spiegel derecha en paciente con ptosis abdominal y múltiples hernias inguinales derechas ya intervenidas.
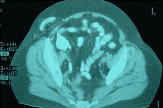
Imagen núm. 2: Tac abdominal con visión de la hernia de Spiegel y su contenido.
Imagen núm. 3: Abombamiento de la aponeurosis del oblicuo externo en la zona herniaria.
Imagen núm. 4: Apertura y exposición de la hernia.
Imagen núm. 5: Disección del saco herniario.
Imagen núm. 6: Contenido intestinal en el saco herniario.
Imagen núm. 7: Reintroducción del saco, liberación del espacio preperitoneal y adecuada visualización de los bordes del defecto herniario.
Imagen núm. 8: Expansión de la hoja inferior de la malla en el espacio preperitoneal.
Imagen núm. 9: Obturación del defecto herniario y expansión de la malla superficial PHS.
Imagen núm. 10: Fijación de la malla.
Imagen núm. 11: Cierre de la aponeurosis del oblicuo externo, con malla desplegada inferior.
Imagen núm. 12: Cierre del oblicuo externo completado.
4. Resultados
La hernia de Spiegel afecta mayoritariamente a la población que se encuentra en la 5.ª o 6.ª década de la vida y que habitualmente han sufrido traumatismos o intervenciones previas en la pared abdominal . El acceso abierto es universalmente reconocido, aunque hay autores que efectúan la reparación por vía laparoscópica, especialmente para los casos bilaterales. Creemos que la reparación debe ser preperitoneal, tal y como preconizó el modo clásico de Wantz, aunque en nuestros casos ha resultado de indudable valor el uso de la malla tridimensional PHS, cosa que han hecho autores como Sánchez Montes y Deysine (2003) y Campanelli et al. (2005).











