Hernia incisional lumbar asociada a tumor intramuscular (oblicuo externo)

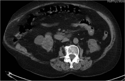
Se presenta el caso de una eventración de gran tamaño (>10 cm) asociada a un tumor intramuscular del oblicuo externo no filiado después de varias punciones. Se describe la historia clínica y se muestra el estudio de imagen completo.

Las posibilidades de debate que proponemos son: cirugía en varios tiempos, abordaje, técnica, conveniencia de malla y elección de esta ante la existencia de un tumor.

Caso clínico HL tipo C + tumor muscular en OE (ppt)

Después del posible debate, en unas semanas, se incluirá la postura adoptada por el autor y el resto de la iconografía para completar el caso.

Este caso se ha cerrado ya, las conclusiones las puede ver en el siguiente documento:

Conclusión Eventración lumbar con tumor muscular de pared abdominal (ppt)

Debate Clínico y Comentarios

Espacio de discusión científica sobre este caso.

3 respuestas a “Hernia incisional lumbar asociada a tumor intramuscular (oblicuo externo)”

  1. Fernando Carbonell Tatay dice:

    Muy interesante caso.

    Me gustaría saber la estirpe del tumor renal primitivo: ¿hipernefroma maligo? ¿proceso renal benigno?.

    Dos patologías:
    a) El tumor: en la TAC parece tratarse de un tumor sólido , probablemente un desmoides, pero hay que descartar lipoma, liposarcoma, swanoma, etc. no parece metástasico ya que se entiende que el estudio de extensión fué negativo en la paciente y la nefrectomía por el tiempo en proceso benigno.
    El abordaje con cirugía abierta, la visión y tacto macroscópico orientarán mucho, pero además podremos asegurarlo con un estudio anatomopatólogico per-operatorio, aunque una resección con bordes por encima de los 5 cm. sería suficiente, obvuiando la biopsia extemporánea que a veces resulta de díficil diagnóstico. La opción de poner una prótesis de sustitución submuscular, en el espacio o supra, la decidiremos in situ. Como también la posibilidad de utilizar una doble malla a lo Moreno Egea, aprovechando la de mayor tamaño para cubrir la hernia incisional también. Todo ello con la estrategia adecuada según el campo disecado.

    b) La Hernia lateral-Lumbar: Díficil de reparar, en mi opinión una doble malla y por cirugía abierta, la primera bilaminar ( IPOM, Parietex, Fixiomed, Proceed, etc.)o de titanio por si hubiera de ser intraabdominal y una segunda de PPL, PVDF, grande.

    Contestando a las preguntas del autor:

    1.- Cirugía en un tiempo o en dos tiempos: en un tiempo
    2.- Vía de abordaje: cirugía abierta con una o dos incisiones independientes, según campo. la cirugía laparoscópica sería una buena opción si sólo se tratara de la hernia lumbar.
    3.- Técnica de extirpación y reconstrucción del tumor: extirpación con márgenes de mas de 5 cm alrededor y sustitución o no con prótesis como hemos dicho, dependiendo de distancias, etc.
    4.- Reparación de la hernia: doble malla, colocando cada una según sus propiedades que permitan contacto con asas o no.
    5.- ¿Qué tipo de malla usarías con un tumor?: PPL, PVDF,

    Resumen: Este tipo der casos deben ser intervenidos por cirujanos expertos en la pared abdominal. La reconstrucción de una eventración tras lumbotomía, es difícil, ya que se acompaña además de una atrofía muscular por la sección de los nervios. El tumor desmoide de pared abdominal ( si es el casdo)n necesita un tratamiento multidisciplinar con participación del oncólogo y radioterapeuta.

    Felicidades al autor del caso y gracias por presentárnoslo.
    Esperamos la solución que le dió.

  2. Manuel López Cano dice:

    Caso interesante de combinación de patología de pared (hernia lumbar+tumor sólido). Al igual que comentan los colegas previos seria interesante conocer la causa de la nefrectomía previa, ya que si fue un tumor maligno habría que descartar previamente extensión a distancia. Una vez descartado y si solo se trata de un tumor de la pared abdominal, en nuestro protocolo de actuación y con las pruebas negativas que se presentan, quizás hubiésemos solicitado una RMN, esta prueba es muy útil en tumores de partes blandas y puede hacer una orientación diagnostica preoperatoria.
    Respecto a las preguntas que se plantean:
    1. Haríamos cirugía en un tiempo.
    2. Cirugía abierta, con extirpación tumoral con criterios oncológicos y reparación posterior de todo el defecto de pared.
    3. Reparación con doble malla. Probablemente una compuesta que permita contacto con las asas y una de polipropileno de baja densidad y poro amplio. Aunque la decisión final seria en el acto operatorio y en función de hallazgos/resultado post-extirpación.

  3. Interesante caso. Al menos el tumor sólido y la hernia está en el mismo lado. Creo que también nos atreveríamos a realizar cirugía en 1 tiempo. Resección con márgenes suficientes y eventroplastia buscando el espacio entre transverso y oblicuo menor en lado lateral y en lado medial, desinserción del transverso sobre fascia posterior del recto para colocar en este espacio una malla. No creo que el tumor influya en el tipo de malla a colocar. Un PP de mediana densidad y tiranizada en caso de contacto directo con interior abdominal